Trombosis venosa profunda (TVP)

Autor Javiera Fuentes G.

Antecedentes clínicos:

  • Paciente acude por dolor posterior del tercio proximal del muslo hace aproximadamente 3 semanas.

  • Ausencia de trauma o caída previa.

  • Indica como antecedente episodio de trombo embolismo pulmonar (TEP) de hace aproximadamente 3 años, sin mayor historial del episodio.

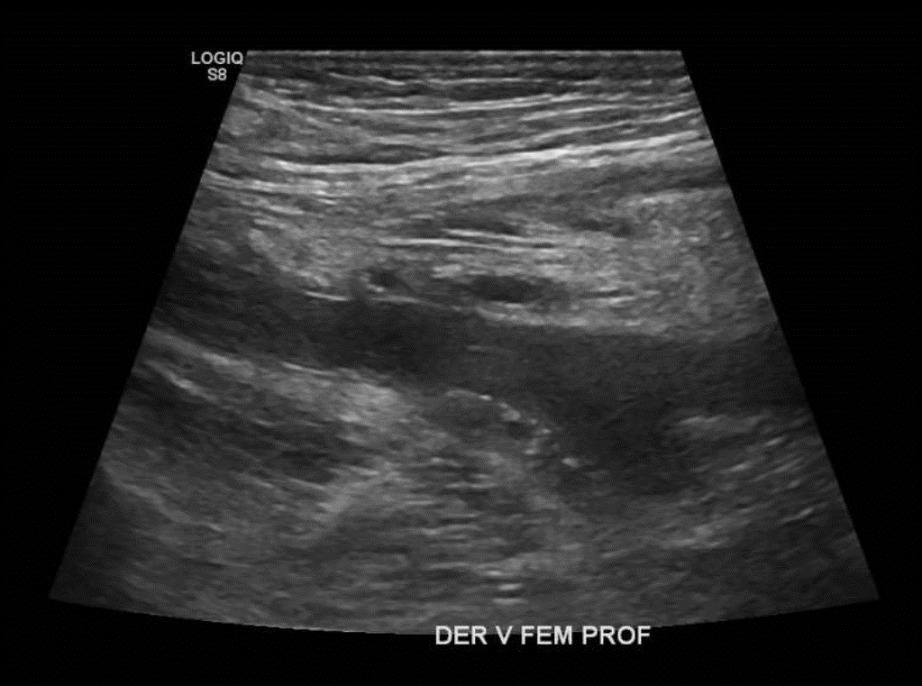
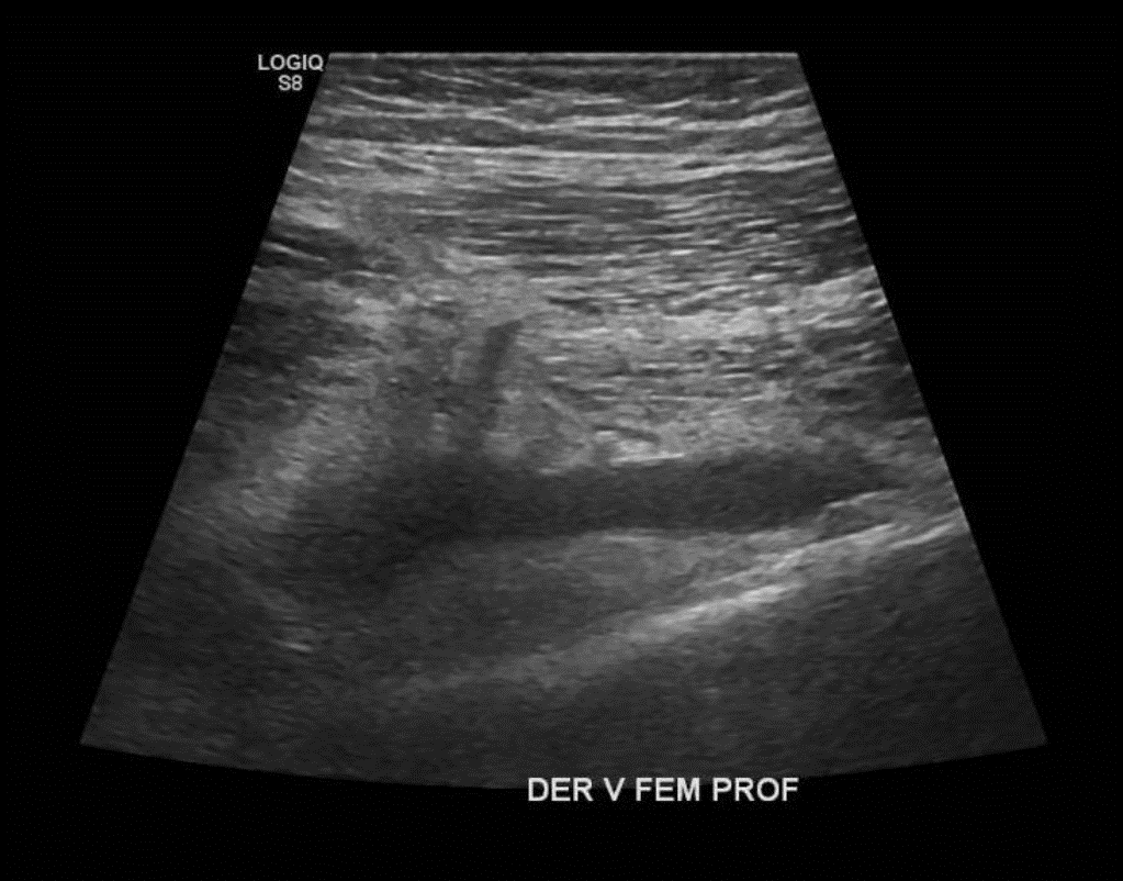
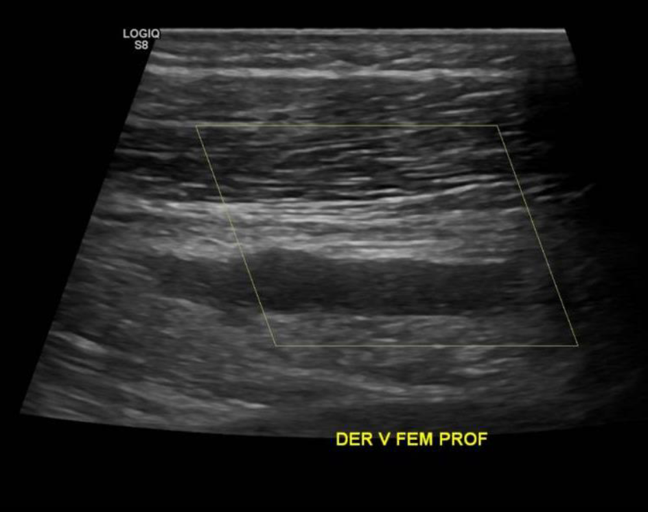
Descripción de hallazgos:

  • T Isquiotibial con signos leves de heterogeneidad y engrosamiento.

  • Desde la VFC se visualiza contenido ecogénico interno, no compresible y sin señal al Doppler Color sugerente de Trombo que se extiende por toda la cara posterior del muslo comprometiendo a la Vena Femoral Profunda. Vena Femoral Superficial permeable.

Informe radiológico y conclusiones:

Ecotomografía de Muslo Derecho

Antecedentes: Dolor en el tercio proximal del muslo.

Hallazgos: Piel y tejido subcutáneo sin alteraciones. Material ecogénico endoluminal en vena femoral común, vena femoral superficial y profunda, con ausencia de flujo y compresibilidad, compatible con trombosis venosa profunda en evolución. Planos musculares de aspecto ecográfico conservado, sin evidencias de desgarros fibrilares. Engrosamiento disminución de ecogenicidad inserción proximal de los isquiotibiales, sin desgarros. No se observan lesiones nodulares ni quísticas. Contornos óseos visualizables regulares. Impresión

Diagnóstico: Hallazgos compatibles con trombosis venosa profunda de vena femoral común, vena femoral superficial y profunda. Es indispensable evaluación clínica de urgencia. Entesitis proximal de los isquiotibiales.

Anterior
Anterior

Síndrome es Os peroneo