Síndrome es Os peroneo

Autor Franco Risi

Preparado por Felipe Lagos

Antecedentes clínicos:

  • Paciente masculino de 53 años. Presenta dolor en cara lateral del pie derecho, pie izquierdo normal.

  • Causa post actividad física rutinaria: juega pádel y refiere sobrecarga al apoyar el pie en ciertas maniobras deportivas.

  • Leve sobrepeso.

  • Diagnóstico/sospecha clínica: Tendinitis Peroneo Corto.

Descripción de hallazgos:

No disponible.

Informe radiológico y conclusiones:

Antecedentes: Dolor en cara lateral del pie y tobillo en relación a actividad deportiva.

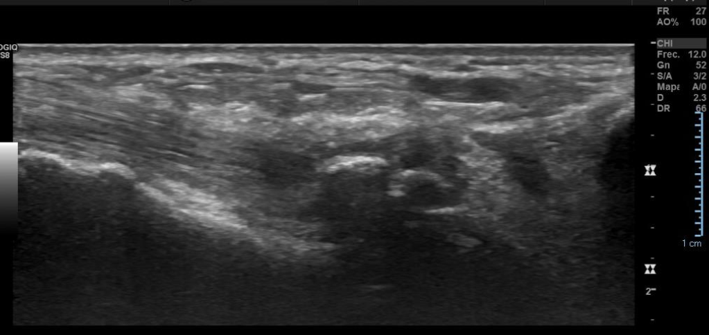
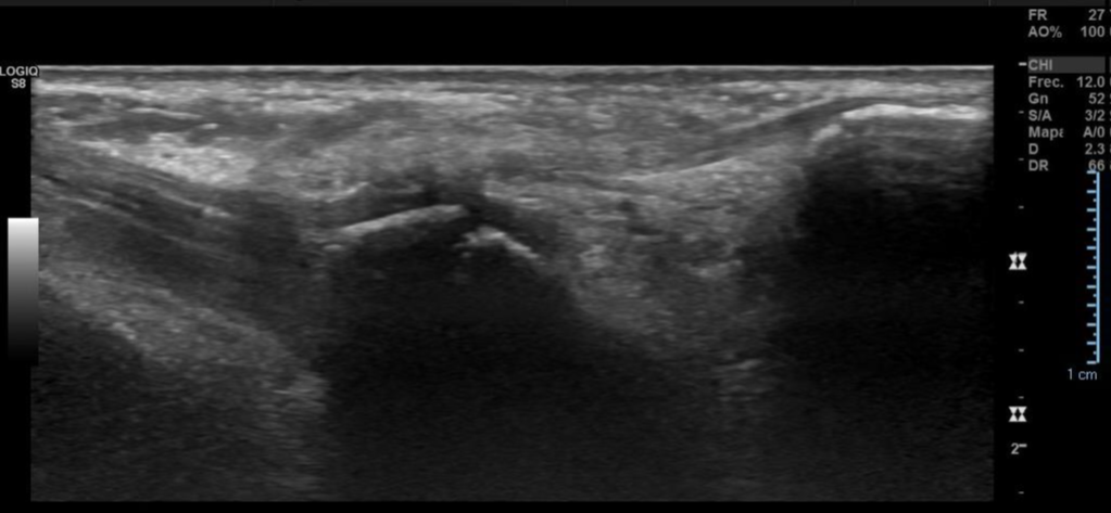
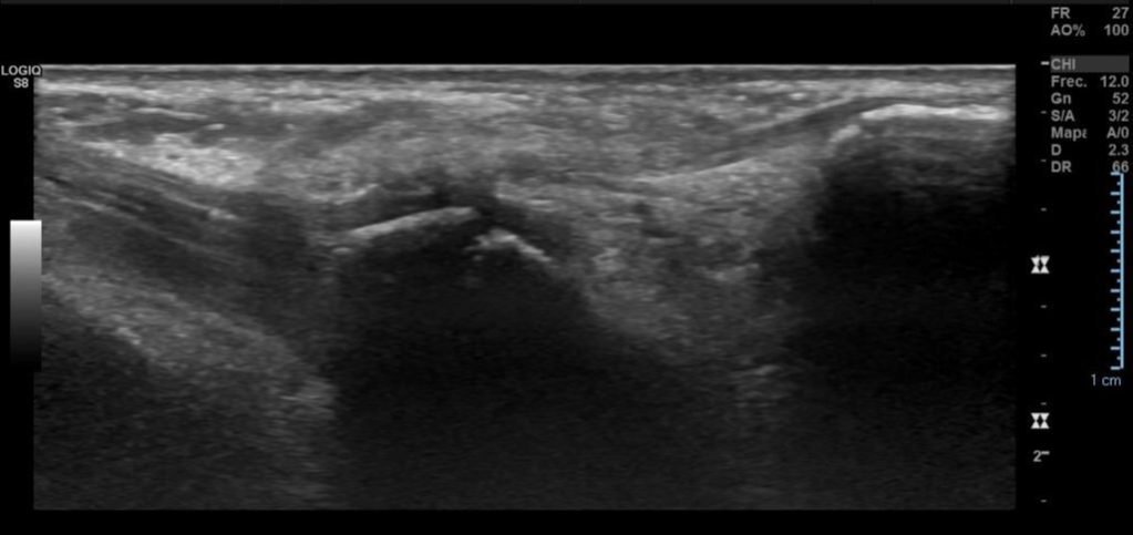
Hallazgos: Piel y tejido celular subcutáneo sin alteraciones significativas.

Planos musculares respetados.

Engrosamiento y disminución de ecogenicidad del tendón peroneo largo en su región distal, sin desgarros.

Tendón peroneo corto, tibial anterior, extensor del hallux y extensor común de los ortejos de grosor y patrón fibrilar conservados.

Espacios articulares de amplitud normal y bordes regulares.

No hay signos de derrame articular.

Imagen con aspecto de os peroneo de contornos corticales irregulares, con cambios inflamatorios de las partes blandas adyacentes, pudiendo estar en relación a fractura a este nivel.

Impresión diagnóstica: Imagen con aspecto de os peroneo de contornos corticales irregulares, con cambios inflamatorios de las partes blandas adyacentes, pudiendo estar en relación a fractura a este nivel. Se sugiere evaluar con radiografía.

Tendinosis del peroneo largo en su región distal.

Anterior
Anterior

Desgarro de músculo deltoides

Siguiente
Siguiente

Trombosis venosa profunda (TVP)