Quistes hidatídicos.

Autor Yinaris Sandoval Aguayo

Antecedentes clínicos:

Se solicita ecografía abdominal sin diagnóstico a paciente masculino de 22 años, extranjero, que acude a centro médico por aumento de volumen en flanco izquierdo hace 1 semana, sin dolor ni cambios cutáneos, sin otros antecedentes asociados. No presenta antecedentes mórbidos ni cirugías previas.

Descripción de hallazgos:

Páncreas parcialmente visualizado por meteorismo abdominal.

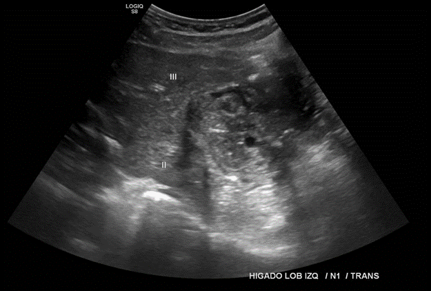
En hígado se visualizan 3 imágenes nodulares, heterogéneas parcialmente calcificadas periféricamente, la de mayor tamaño encuentra en Lob hepático izquierdo cuyas dimensiones abarcan el segmento 2 y 3, otra se ubica entre el límite de LHD e LHI con mayor énfasis en LHI y la última en LHD en segmento 7, todas sin señal categórica al Doppler, sugerente de quistes hidatídicos calcificados de larga data.

Al evaluar región de aumento de volumen se puede observar imagen quística con leve señal al Doppler en región sólida, se sugiere exámenes complementarios.

Informe radiológico y conclusiones:

Formaciones de aspecto quístico complejo hepáticas, y otra en pared de flanco izquierdo; las que plantean diagnóstico de hidatidosis. Correlacionar como tomografía computada.

Anterior
Anterior

Ca ovárico / Omental Cake

Siguiente
Siguiente

Hepatitis aguda