Hepatitis aguda

Autor Matías Flores L

Preparado por Rocío Sánchez

Antecedentes clínicos:

  • Paciente masculino de 18 años

  • Diagnostico: s/d

  • Sintomatología: Dolor abdominal hace 5 días con 4 episodios de cuadro febril

  • Antecedentes mórbidos: no indica

  • Medicamentos: no indica

  • Cirugías previas: osteocondroma rodilla fractura tipo 2

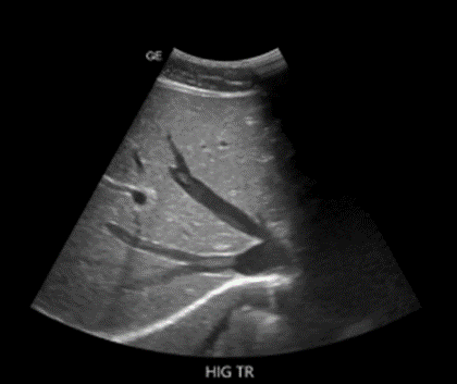
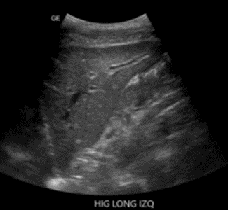
Descripción de hallazgos:

Hígado con aumento de la ecogenicidad de la triada portal (cielo estrellado).

Vesícula parcialmente distendida de paredes edematosas, levemente engrosadas, presenta tenue señal al power doppler

Signos sugerentes de hepatitis en evolución

Resto sin hallazgos patológicos

Informe radiológico y conclusiones:

Hallazgos:

Hígado: conserva forma, tamaño y contornos regulares. El parénquima se visualiza ecográficamente heterogéneo, con aumento a nivel de la triada portal en cielo estrellado, sin áreas de focalización intraparenquimatosa. El sistema biliar intrahepático luce normal

Vesícula biliar: poco distendida, de paredes engrosadas, sin ecos en su interior

Bazo: Sin alteraciones ecográficas

Páncreas: Sin alteraciones ecográficas

Retroperitoneo: Sin alteraciones ecográficas

Riñones: Ambos de forma, tamaño y posición conservados. Contornos bien definidos. Senos renales se observan con ecogenicidad normal. La relación corticomedular es normal. No se

visualizan patrones de litiasis ni dilatación del sistema colector. No se observan colecciones extra-renales

Impresión diagnóstica: Signos sugerentes de hepatitis en evolución, correlacionar con clínica.

Anterior
Anterior

Quistes hidatídicos.

Siguiente
Siguiente

Daño hepático crónico y derrame pleural