Pancreatitis aguda

Autor Ignacio Delgado

Preparado por Francesca Freire

Antecedentes clínicos:

  • Paciente masculino de 79 años.

  • Epigastralgia de 4 días de evolución, sin fiebre.

  • Constipación hace 1 semana

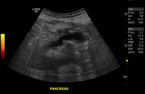
Descripción de hallazgos:

Páncreas hipoecogénico, heterogéneo, de bordes irregulares.

Líquido libre adyacente (Edema)

Hallazgo sugerente: Pancreatitis Aguda

Informe radiológico y conclusiones:

Hígado de forma, tamaño y ecogenicidad conservada.

Lesiones focales hipoecogénicas bilobares de hasta 37mm.

Vía biliar de calibre normal

Vesícula biliar normalmente distendida, de pared fina, sin cálculos en su interior

Bazo de tamaño normal

Páncreas heterogéneo con líquido libre peripancreático

Aorta abdominal en sus segmentos visibles de calibre normal.

Riñones bien posicionados, de forma, tamaño y ecogenicidad conservadas, con adecuado grosor del parénquima.

No se observan hidronefrosis ni colecciones peri renales.

Impresión Radiológica:

Signos de Pancreatitis Aguda.

Lesiones focales hepáticas

Se sugiere estudio tomográfico complementario

Revisión bibliográfica

Pancreatitis Aguda

  • Inflamación súbita del Páncreas

  • Producida por patología obstructiva del tracto biliar, Abuso de Alcohol, Factores genéticos, Traumatismo, Post-Qx.

  • Dolor epigástrico o hacia hipocondrio izq, Dispepsia, Dolor constante e intenso.

  • Difusa: Aumento de tamaño del Páncreas, disminución de ecogenicidad respecto a parénquima hepático, eco estructura heterogénea. Extra pancreático: Líquido, edema

Anterior
Anterior

Abscesos Hepáticos identificados en Ecografía Renal

Siguiente
Siguiente

Ca. de Colon - Adenocarcinoma/ Signo del Pseudoriñon