Ca. de Colon - Adenocarcinoma/ Signo del Pseudoriñon

Autor Claudio Delgado

Preparado por Francesca Freire

Antecedentes clínicos:

  • Sexo: Femenino

  • Edad: 79

  • Orden Medica: No refiere diagnóstico

  • Sintomatología: Dolor en región de Flanco Izq desde hace 2 meses aprox.

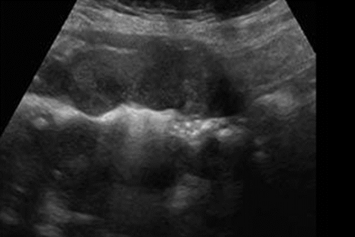
Descripción de hallazgos:

Ateromatosis de la aorta abdominal

Signos de colecistectomía

En Flanco izq en región de dolor, en relación a colon descendente, marcado engrosamiento de aspecto nodular, hipoecogénico y heterogéneo con moderada hiperemia al Doppler color y power. En signo de pseudoriñon, con leve aumento de la ecogenicidad de la grasa adyacente. Hallazgos sugerentes de adenocarcinoma

Informe radiológico y conclusiones:

Se explora dirigidamente flanco izquierdo, donde en correspondencia con área de sensibilidad al paso del transductor, se identifica engrosamiento focal de la pared del colon descendente, con aumento de la vascularización al Doppler Color. Se esboza imagen de pseudoriñon, con aumento de la ecogenicidad de la grasa circundante.

Impresión: Hallazgos ecográficos compatibles con engrosamiento focal de la pared del colon descendente, con imagen de pseudoriñon. De acuerdo a criterio clínico se sugiere tomografía computada contrastada para descartar proceso proliferativo, así como sospecha de intususcepción en evolución.

Revisión bibliográfica

Adenocarcinoma: 

  • Neoplasia más común en colon, se origina del tejido epitelial gástrico.

  • Incidencia mayor a partir de los 50 años, con su punto máximo alrededor de los 70

  • Predominante en hombres

Factores de riesgo:

  • Pólipos gástricos, fumadores, anemia perniciosa

Signos Clínicos:

  • Frecuentemente asintomático en etapas tempranas.

  • Pérdida de peso, náuseas, vómitos, saciedad temprana.

Signos Ecográficos:

  • Lesión nodular de ecoestructura heterogénea.

  • Con ecogenicidad variable:  Hipo-hiperecogénica.

  • Perdida de la estratificación de la mucosa intestinal.

  • Signos de Pseudo Riñón: Los gases simulan ser el seno renal y el tumor el parénquima renal.

Anterior
Anterior

Pancreatitis aguda

Siguiente
Siguiente

Disección aórtica