Hallazgo de Masa Axilar inespecífica

Autora Paz Acosta Maureira

Preparado por Evelyn Roco

Antecedentes Clínicos:

  • Orden: sin diagnóstico

  • Sintomatología: Dolor axilar derecho de hace 1 semana app., Refiere región palpable y aumento de volumen.

  • Antecedentes clínicos: Paciente femenina 27 años.

     Antec. de Osteosarcoma escapular Der tratado con Cx + QT 2018.

  • Cirugías previas: Escapulectomía subtotal derecha.

  • Ex anteriores: mamografía- eco axilar-tc hombro con contraste- electromiografia

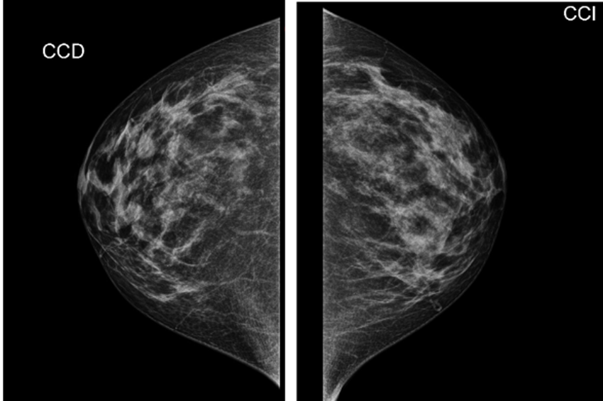
Imágenes Mx

Informe MX:

Hallazgos:

Piel y tejido subcutáneo sin alteraciones.

La unidad areola y pezón normal.

Mamas densas, con distribución heterogénea, observado algunos contornos nodulares, isodensos parciales, bilaterales más evidentes a derecha.

No se reconocen microcalcificaciones agrupadas de manera sospechosa.

 

Conclusión:

Mamas densas con probable nódulos bilaterales

Se complementará con ultrasonido

Birads 2

ACR C

Imagen Ecografía Axilar

Informe Ecografía Axilar:

Hallazgos:

Tejido celular subcutáneo sin alteraciones

No hay imágenes quísticas en el plano evaluado

Estructuras musculares sin alteraciones

No hay líquido libre

Contornos bien definidos

No se identifican adenopatías patológicas

 

Conclusión:

Sin hallazgos patológicos

Se realiza posteriormente Ecografía Mamaria

Descripción de hallazgos:

Hallazgos TM:

Nódulo hipoecogénico, ovalado, circunscrito y paralelo, sin señal al Doppler Power en mama izq. UCSUP hr 12 a 3 cm p, se observa área quística en su interior.

En la axila derecha adyacente a cabeza de húmero y en correlación con reg. palpable, se observa área nodular hipoecogénica, ovalada y parcialmente circunscrita, sin señal al Doppler Power, podría corresponder a ganglio axilar inespecífico, se sugiere estudio complementario por antecedente de osteosarcoma escapular operado.

Sin otros hallazgos

B3

Informe radiológico y conclusiones:

Piel y tejido subcutáneo sin alteraciones

Glándulas mamarias de estructura normal

En la mama izquierda hora 12 a 3 cm de pezón hay un nódulo sólido de 15x13mm que muestra una formación quística en su espesor.

En la región axilar derecha se demuestra una imagen nodular isoecogénica de 16x15mm adyacente a la cabeza humeral como hallazgo.

Sin otros hallazgos a destacar.

Conclusión:

Nódulo sólido en la mama izquierda bien delimitado.

Como hallazgo incidental imagen nodular de partes blandas adyacente a la cabeza humeral derecha.

Se sugiere estudio con otra técnica diagnóstica ya sea Tomografía computada o RM.

El nódulo de la mama izquierda sugiero su control en 6 meses

B3

Extras: TAC Hombro derecho

En TAC se describen cambios postquirúrgicos en la resección de la escápula en relación a la unión miotendinosa proximal del músculo dorsal ancho y musculatura del brazo proximal. En el tejido subcutáneo se evidencia Cx quirúrgica.

En electromiografía se diagnostica finalmente como una mononeuropatía axilar derecha, axonal, severa.

Anterior
Anterior

Intumescencia Mamaria Pediátrica

Siguiente
Siguiente

Carcinoma ductal infiltrante