Colangiocarcinoma

Autor Claudio Delgado

Antecedentes Clínicos:

  • Paciente masculino de 67 años

  • Acude a consulta médica por hernia umbilical, donde se realiza orden médica de eco abdominal por sospecha de DHC.

  • Asintomático al momento del examen.

  • Sin antecedentes mórbidos, cirugías ni exámenes previos.

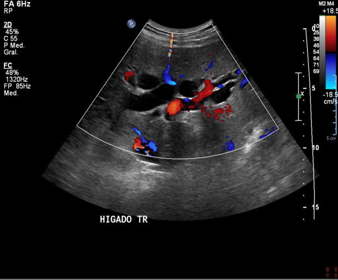
Descripción de hallazgos:

  • Parénquima hepático de morfología y ecogenicidad normales, de superficie lisa, no se visualizan signos de imágenes nodulares ni de DHC.

  • En riñón der (1) e izq (3), quistes corticales simples.

  • Vesícula ampliamente distendida (hidrops), presenta barro biliar y calculo móviles. Colelitiasis asociada a barro biliar, sin signos de impactación. Wirsung de calibre conservado.

  • VBIH y VBEH marcadamente dilatadas. A nivel de colédoco proximal y distal se visualiza contenido nodular ecogénico sugerente de causa obstructiva.

  • Hallazgos sugerentes de colangiocarcinoma. Complementar hallazgos con colangio RM.

Informe radiológico y conclusiones:

Antecedentes: DHC.

Hallazgos: Hígado de forma y tamaño con parénquima homogéneo sin lesiones focales sólidas ni quísticas. Vena porta con flujo hepatopetal.

Vía biliar intra y extra hepática dilatadas. No se observa factor obstructivo evidente con esta técnica.

Vesícula biliar sobre distendida, mide 18,8 x 7 cm en sus ejes mayores. Presenta paredes finas con bilis ecogénica y cálculos móviles en su lumen, el de mayor tamaño, mide 21 mm. No hay Murphy ecográfico.

Bazo mide 11,5 cm, sin lesiones focales sólidas.

Páncreas de tamaño normal. Conducto pancreático principal, mide 2 mm.

Ambos riñones de forma y tamaño normal. Presentan buen espesor de su parénquima y adecuada delimitación entre éste y el seno renal. No hay dilatación pielocalicilar ni imágenes categóricas de cálculos. Existen quistes simples renales bilaterales, el de mayor tamaño a izquierda, mide 15 mm.

Aorta abdominal de trayecto y calibre conservado.

No hay líquido libre en la cavidad abdominal.

Anterior
Anterior

Disección de Aorta Abdominal

Siguiente
Siguiente

Apendicovesicostomia