Caso clínico carcinoma de células transicionales / masa renal

Autor Daniel Martínez

Preparado por Felipe Lagos

Antecedentes clínicos:

  • Ecografía abdominal por dispepsia.

  • Paciente presenta dolor abdominal difuso de larga data.

  • No presentaba hematuria.

  • Sin datos de cirugías o exámenes anteriores.

Descripción de hallazgos:

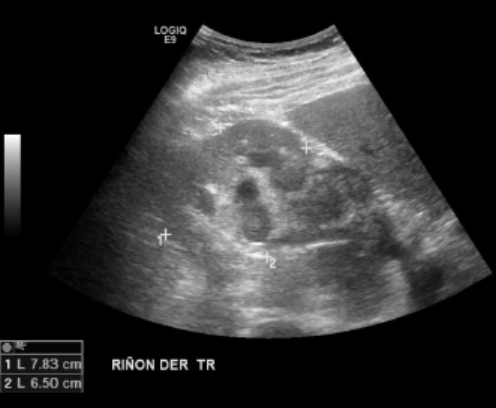
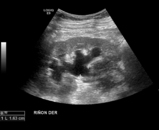
Se observa el riñón derecho aumentado levemente de tamaño con una hidronefrosis moderada. Adyacente al riñón se observa una masa isoecogénica respecto a la cortical renal, heterogénea, de bordes mal definidos, con señal periférica al Doppler, de presunto origen ureteral.

Informe radiológico y conclusiones:

Antecedentes: Dispepsia

Hallazgos: Hígado de forma y tamaño normal con parénquima homogéneo sin lesiones focales sólidas ni quísticas.
Vía biliar intra y extrahepática de calibre conservado.
Vesícula biliar en repleción de paredes finas, con bilis ecogénica móvil y sin cálculos categóricos.
Bazo mide 13,1 cm. En su espesor se observa una lesión quística tabicada, mide 24 mm.

Segmentos visibles del páncreas, sin alteraciones.
Riñones de forma y tamaño normal. Presentan buen espesor en su parénquima y adecuada delimitación entre este y el seno renal. No hay dilatación pielocaliciaria izquierda ni imágenes categóricas de cálculos renales bilaterales. Existen quistes simples parapiélicos renales izquierdos, el de mayor tamaño, mide 12 mm.
Moderada hidronefrosis derecha, secundario a lesión sólida pieloureteral, hipoecogénica y heterogénea. Mide 6,2 x 4,8 x 8,1 cm, vascularizada.
Aorta abdominal de trayecto y calibre conservado, con placas de ateroma calcificado en su pared.
No hay líquido libre en la cavidad abdominal.


Impresión:
Moderada hidronefrosis derecha, secundaria a la lesión pieloureteral, de aspecto primario.

Leve esplenomegalia con lesión quística asociada.
Quistes renales izquierdos.
Ateromatosis de la aorta abdominal.
Indispensable complementar con estudio con Urotac

Anterior
Anterior

Nódulos Tiroideos altamente sospechosos.

Siguiente
Siguiente

Caso clínico masa vesicular