Apendagitis epiploica

Autor Francisca Alcántara Honorato

Preparado por Yinaris Sandoval

Antecedentes clínicos:

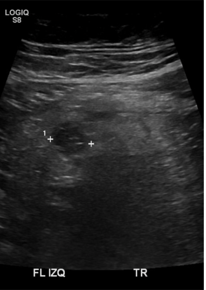
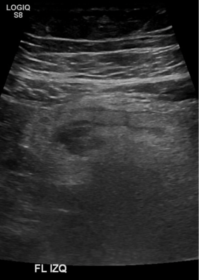
Se solicita eco de abdomen sin diagnóstico mencionado, a paciente masculino de 34 años por dolor en intenso en FII de 3 días de evolución, sin otros antecedentes asociados. Antec mórbido de obesidad. No presenta cirugías previas.

Descripción de hallazgos:

Examen limitado por meteorismo. Páncreas parcialmente visualizado. Hígado aumentado de ecogenicidad con área de respeto periportal sugerente esteatosis difusa moderada. En región dolorosa en FII se observa imagen pseudonodular hipoecogénica, con aumento de ecogenicidad de la grasa adyacente, sin relación intestinal evidente, sugerente apendagitis epiploica.

Informe radiológico y conclusiones:

Hallazgos:

Hallazgos ecográficos sugerentes de apendicitis epiploica a nivel del flanco izquierdo. Cambios de esteatosis hepática leve. Resto del estudio ecográfico abdominal sin hallazgos significativos.

Anterior
Anterior

Proceso inflamatorio intestinal vs lesión tumoral

Siguiente
Siguiente

Tumor Vesicular