Adenopatías retroperitoneales metastásicas

Autor Constanza Villalobos O.

Preparado por Felipe Lagos

Antecedentes clínicos:

  • Paciente femenino de 59 años. Refiere malestar general, dolor abdominal difuso y vómitos intermitentes hace 1 mes. Al momento del examen presenta malestar general, agotamiento persistente y temperatura elevada.

  • Colecistectomizada. Sin enfermedades crónicas.

  • Orden médica sin diagnóstico.

Descripción de hallazgos:

  • Placas de ateromatosis cálcica en aorta abdominal.

  • Quiste hepático simple en lóbulo derecho.

  • Riñón derecho con dilatación pielocaliciaria

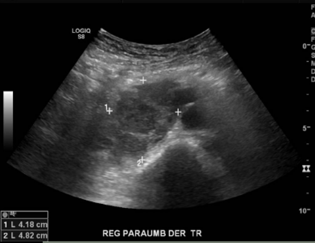
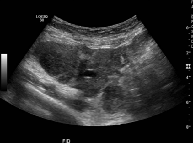
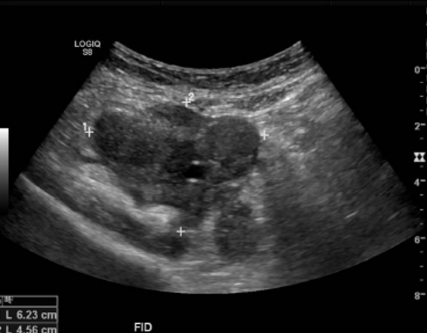
  • A nivel de flanco derecho – FID, se visualiza masa de gran tamaño, sólida, hipoecogénica, heterogénea, con señal Doppler, de presunto origen intestinal, que se posiciona desde flanco derecho hacia FID. Se sugiere complementar con TC.

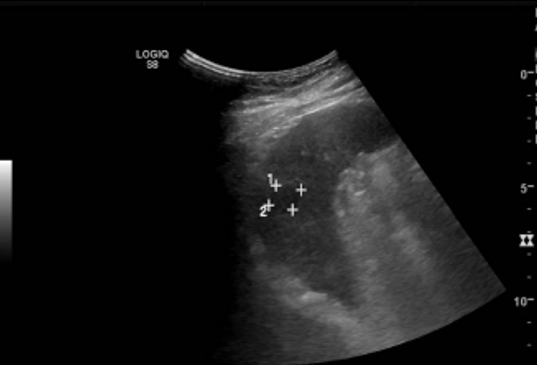
  • En bazo se visualizan múltiples imágenes nodulares, sólidas, hipoecogénicas, bien delimitadas, sin señal Doppler, sugerentes de metástasis.

Informe radiológico y conclusiones:

Antecedentes: Control de salud.

Hallazgos: El hígado de morfología y tamaño normal. En segmento 8 se aprecian imagen anecogénica de 13 mm con refuerzo acústico, sin señal al Doppler.

Colecistectomía.

La via biliar de calibre normal.

El páncreas aspecto ecográfico normal.

El bazo de tamaño normal, presenta múltiples imágenes hipoecogénicas sólidas dispersas en su parénquima, de tamaños entre 10 y 12 mm.

Los riñones bien situados, morfología y tamaño normal, con buena relación seno parénquima. El riñón derecho presenta dilatación pielocaliciaria. No se detectan lesiones focales en los riñones.

En la cavidad abdominal, en el área de la FID se aprecia una gran masa alargada y hipoecogénica multifocal, que ocupa todo el flanco y la fosa ilíaca derecha y que mide al menos 20 cm en sentido longitudinal, siguiendo la dirección del colon.

Los grandes vasos bien diferenciados. Múltiples adenopatías en el retroperitoneo y en el mesenterio.

Impresión diagnóstica: Extensa lesión de tipo neoplásico con compromiso mesentérico e intestinal lateralizado a derecha

Adenopatías retroperitoneales y mesentéricas.

Múltiples nódulos en el bazo de aspecto secundario. Hidronefrosis derecha

Podría tener un origen linfoproliferativo por el compromiso retroperitoneal, el compromiso del bazo y la ausencia de compromiso hepático.

Indispensable TAC de abdomen y pelvis con contraste.

Anterior
Anterior

Apendicovesicostomia

Siguiente
Siguiente

Nódulos Tiroideos altamente sospechosos.