Caso de recitación: Orquitis vs Neoplasia testicular

Autor Rocío Sánchez

Antecedentes Clínicos:

  • Paciente masculino de 51 años. Sin antecedentes mórbidos relevantes.

  • Se presenta con dolor en testículo izquierdo hace 1 mes, afebril.

  • Hipótesis diagnóstica: Orquitis y epididimitis izquierda.

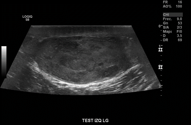
Imágenes de recitación:

Descripción de hallazgos:

Testículo izquierdo heterogéneo, con áreas hipoecogénicas, tenue señal al Doppler, con imagen nodular hipoecogénica, heterogénea, con señal al Doppler, sugerente de neoplasia

Informe radiológico y conclusiones:

Eco Doppler Testicular

 

Antecedentes: Orquitis izquierda. Aumento de volumen testicular izquierdo.

 

Hallazgos: Testiculo derecho de tamaño, forma y estructura normal. Parénquima homogéneo sin lesiones nodulares El testículo izquierdo se observa aumentado de tamaño. Presenta alteración de la estructura de todo el parénquima con múltiples imágenes nodulares hipoecogénicas vascularizadas que miden hasta 2 cm de diámetro En la cabeza del epididimo derecho se observa un quiste de 2,2 mm de diámetro. Epididimo izquierdo sin alteraciones No se observa hidrocele No se observa dilatación de los plexos pampiniformes.

 

Impresión Diagnóstica: Obs neoplasia testicular izquierda multifocal. Quiste epididimario derecho

Anterior
Anterior

Oclusión de arteria pedía

Siguiente
Siguiente

Desgarro gemelar incidental en Eco Doppler de EEII.